◆今日は病院でした。
今日はと言うか今日も比較的穏やかな天気でした。
と言っても日中のほとんどは室内ですから、
あまり天気は良く分からないのですが、
今日は定例の 医者 に行きましたよ。
診察予約が 9:00 からで、
予約確定がの手続きが1時間前の8:00からなので、
8:00前に病院へ到着・・・
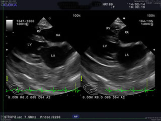
一応 心臓心電図 と 心臓エコー検査 、
そして毎度の 血液検査 と 尿検査 が
8:00前に行えたのでそれはそれで良かったかですが?
今日の診察は 5科 です。

初めの 膠原病(リューマチ科)はまあ9:00の予定通りでしたが、
最後 皮膚科が終わったのは PM2:00 です!
予約は AM11:00 だったのですけどね。
都合6時間ですよ!
先生曰く? 緊急の手術 もあり、時間が押した。
と話していましたが、
まあ私は他の 4科 を周り最後でしたから?
単純に 皮膚科 で6時間かかった訳ではありませんが、
隣りにいた おばちゃん はかなりお怒りでしたよ。
AM10:30 の予約って言うから、9:00頃病院に来たのよ!
もうPM1:00じゃない!どうなっているの!
お怒りはごもっともですし、
実際本来は後回しにされる 一般外来 の人達は
予約ではなく順番に別の先生に診てもらえますから、
結構順番が早く回っています。
我々は当たり前ですが 先生指定 の予約ですから、
その先生が詰まると?どんどん時間が押していきます。
私はもう 10年選手 の超ベテランですから?
こんな時もあるよね・・・と落ち着いていますが、
慣れない人は お怒り ですよ。
ただ・・・先生はおそらくその間 食事 も 休憩 も無い?
大変ですよ。

驚きなのは・・・
当然 保険適用 で 難病 と言う事で、
それに関しては 公費補助 があるのですが?
当然それ以外もある訳ですが。
今日の場合は もし 10割負担(保険適用とか無し)だと
医療費が軽く 10万円 を超えてきます。
公費負担 や 保険適用 で何とかやりくりしていますが、
それでも 自費負担 は 3万円、になります。
結構きついですよ。
それでも今回少し前回の余った薬があるので?
少し負担を減らしているんですけどね。
数値的には落ち着いていると言う事ですが?
今日も聞きましたが?
・・・先生落ち着いているのなら?薬をやめたらどうなりますか?
・・・何の保障も出来ません。あくまで薬の薬効と考えています。
つまり・・・一生通えと!
死ぬまで 薬漬け ですね。
このまま 呑んだくれて 人生楽しみますよ。
それにしても長い事病院に通っていると?
人間模様が面白いですね。
特に私が通っている 糖尿病 を主に診察している所。
糖尿病 なんてほとんどが 我儘病 ですから。
患者様は 我儘放題 ですよ。
だいたい 付き添い に来ていますが、
ほとんどが 頑固ジジイ ですが?
奥様?に 文句 タラタラ言っていますが、
・・・あんたが悪いんでしょう!
って 自戒を込めて? 言ってやりたいですよ。
 |
また嫌な事件ですね
さいたま市見沼区大谷の集合住宅敷地内で18日未明、
住人の市立大谷小4年、進藤遼佑君(9)
が殺害されているのが見つかった事件で、
埼玉県警は19日、死体遺棄容疑で進藤君の父親(32)を逮捕
・・・事件発生当初から、
私を含め ネット上 は特に 犯人特定 していましたが、
何があったのでしょうね?
だいたいの想像はつきますが・・・残念です。
父親は母親の再婚相手で無職と言う事で、
ご近所の話では みた事が無い と言うほどではないですが、
引きこもりニート と言うかそんな感じの方?
世の中には結構そう言う 中高年引きこもりニート が多いそうです。
どうして良いか分かりませんが?
これも何とかしないといけない問題ではありますよ。
やはり 誰かに相談 出来るような システム が必要ですね。
前にTVである方・・・結構有名人 が話していましたが、
・・・今の人って 打たれ弱い よね?
・・・今の時代こんな事言っては絶対いけないけど、
・・・僕らの時代は 理不尽 が当たり前だった。
・・・セクハラ、パワハラ 当たり前で、みんなそれに耐えていた。
・・・それに耐えて今があるって思うから?
・・・なんて言って良いのか?でも皆さんそうでしょう?
って言っていましたが・・・
たしかに・・・そんな気もします。
イジメられる奴が悪い!・・・それは違うと思うけど、
そこで なにくそ! と思う気持ちも大切かと?
私も 昭和 の塊ですからね。

我々は
青春とはなんだ! これが青春だ!・・・世代で、
今話題の ラクビー物 でも スクールウォーズ とか
ほぼ実話の 最底辺ダメ高校の奇跡のドラマとか
バレーでもテニスでも スポコン 真っ只中。
罵声!暴力・・・当たり前でした。
先日もTVで何処だったか?有名柔道名門校を特集していました。
実際我が娘も 空手の全国の高校(他野球部とかサッカー部も有名)で
それはそれは 理不尽 な扱いを受けたと話していましたが、
今になってある意味 感謝 していると。
やはり 愛 があるか無いか?
これが又難しいのですが。
実は前述の超有名人・・・
今日阪神の近本選手が あの方 の新人記録を抜いた!
と話題になりましたが、その あの方 の御子息で
やはり元プロ野球選手と超有名音楽家と噺家だったかな?
《掲載:2019.9.23》by GIN
葉羽 昔の体育会系ってバンカラでしたからね。乱暴な言動は当たり前。だけど、陰湿でなかった気がします・・少なくとも僕の周りでは。時代が変わったんでしょうけれども…。
|