(※背景写真:パラグライダー)↓
<<INDEX | <PREV / NEXT>
 

「Fusses Over」

佑樹のMusic-Room
その6万有引力に負けた日の巻」
by ピカイチ君&葉羽
Site arranged by Habane
 

葉羽 さて、このあたりから本人執筆となりまする。

ピカイチ君 小さい頃から風になって,また鳥のように空から町を見てみたいというのが夢でした。

 忘れがたし平成6年11月16日11時30分、福島県某パラグライダースクールにおいて、A級ライセンス(インストラクターなしのフリー飛行可)を目指して今日も練習が始まりました。

 南西の風、吹き流しはほぼレベルでインストラクターが弱風になるのを待っていました。

 「GO!!」初めてのクロススタート(風を背に受けながら助走しないで身体を回して離陸)を成功させ、間もなく高さ15~20m、距離100m飛行中です。

うん、こんな感じ!

うん、こんな感じ!

(イメージですが)

 予想以上の上昇気流、何かに引っ張り上げられるように一気に上昇。

 ビビッたインストラクターの拡声器により高度処理を実行、しかし横風により斜面側に流されました。

 右ブレークコード引くが、頭は相当パニクッテたのでしょう。

 オーバーコントロールにより右キャノピー(羽)がつぶれた状態で、万有引力により地面に引き寄せられ約5mの高さから墜落、右肩から腰にかけて強打いたしました。

 このとき、今考えると左足がショックアブソーバーとなっていたのかもしれません。

 仲間の話だと身体が地面でバウンドしたそうです。

でもって、こんな感じ!

でもって、こんな感じ!

(イメージですが)

 頭は真っ白でしばらく呼吸できず「オーマイゴット!!」。

 堰を切ったように息と涙が出てきました。

 「生きている!!」。

 横たわりながら少しずつ身体を動かすと、かろうじて手足末端まで意識はあるようですが、左足首捻挫の状況でありました。

 あとでこの時のことを妻には「お母ちゃんの顔が浮かんだ」といいましたが、「保険入っていたかな」と冷静に考えておりました。

エライことに・・

エライことに・・

 午前中で練習を切り上げA君に付き添われ共立病院に急患として直行。

 右腕擦り傷治療の後、日曜日なので緊急内科医が左足首と右肋骨レントゲン撮影、検査結果、「骨には異常ないが左足首の靭帯切断の恐れあり」とのことで、明日の専門の先生に診察を託し、応急ギブスをセットし、松葉つえで帰宅しました。

 住宅の5階まで松葉ツエはききました。

 足はどんどん脹れ、痛みも増していきました。もちろん、こんなことは初めてです。

お風呂はこんな感じ・・

お風呂はこんな感じ・・

(本人出演)

 帰宅して寝返りする度に風引きの前兆のような全身の関節の痛み。

 さらに赤い尿が・・・。

 次の日、午前8時に妻の運転で入院覚悟で病院に向かいました。

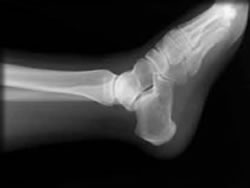
 左足首の腫れが著しく、再度レントゲン撮影のところ、「距骨剥離骨折と靭帯損傷切断」と判明。

 「やっぱし」

 午後、整形外科手術のため断層及び造影写真、さらに靭帯連結程度を調べる関節曲げ試験(これが痛い)、その結果、関節内出血、距骨骨折と内側靭帯切断、外側靭帯は辛うじて繋がっていて全切断を免れました。

 足はプラプラの状態でありました。私はカラ元気でニコニコしていました。

お風呂はこんな感じ・・

かろうじて・・

 ギブスにより4週間の安静治療。

 「最悪の結果ではないが、歩行障害が残るかもしれない」とのこと。

 先生、曰く「2週間ほど安静にして入院してもらいます」。

 しかし、看護婦、こっそりと曰く「先生、さっきベット埋まっちゃいました」。

 先生、平静を装いながら曰く「元気そうだから無理しないで自宅で安静にして下さい」。

 これで保険料は半額になるし、2週間後5階から松葉杖のAT車通勤となってしまいました。

その後の勤務風景

その後の勤務風景

(本人出演)

 職場では心配してくれる一方で「もらったような命だから死んだつもりでしっかり仕事しろ」とか激励?されたり、「どうしました?」という多くの来客に説明するのも面倒になり、ギブスに張り紙して、「これ読んで」と、ことの顛末を読んでいただきました。

 女の子からはギブスに「頑張って下さい」と寄せ書きされたり、こっちも開き直って「本人、大変反省しておりますので冷やかし、お見舞いはご遠慮願います」と目立つようにゴシックで書いてやりました。

 パラグライダーの事故の大半は離着陸の失敗です。

 ブランコにのってそのままふわっと宙に浮くようなものなのです。

 その瞬間は何とも言えない気分です。

 そもそも人間には足がついてないで危機的状況になると、ご先祖様からの右脳に危機管理システムが内蔵されておらず頭は真っ白になるのであります。(私の場合は特に)

 足が地球から離れるハイリスク、ハイリターンのパラグライダーです。

 人間なんでも足が地に着いてないといけませんね。

こちらが下半身

こちらが下半身

(本人出演)

あらららら・・!

 完治して冗談半分「次はバンジージャンプでもしてみっかな」に、「お父さんいい加減にしてください」のカツが飛び、シュンとなったのは言うまでもありません。

 家族がいて遊びに命を賭けるものではありません。

 あれ以来、ブランコにも怖くて乗れなくなってしまいました。

 中年の飛びそこないの、とんだ失敗、とんだ話でした。

《配信:2019.5.23》ピカイチ君 ピカイチ君葉羽葉羽

PAGE TOP


   Copyright(C) Pikaiti&Habane. All Rights Reserved.