<<INDEX | <PREVNEXT>
 
  by Maruyama Yoshiko / Site arranged by Habane
"ホシノキセキ" by -WindSphere-
 

(丸山芳子)健康診断の結果を聞きに行くと・・。

 

【2022/8/16】 健康診断

 区の無料健康診断を近所の内科医院で受けたので、その結果を聞きに行く。

 ちょっと血液の結果に注意点があるものの、臓器はすべて問題なし。

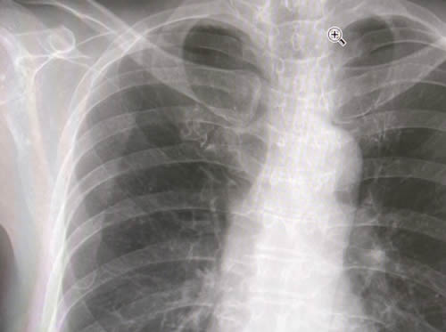
 レントゲン画像を見て、医師が言う。
「背骨、曲がってますね。特に対処する必要はないけれど。。」

 なぜそうなったのかな。。と考える。

 小学生の時の鼓笛隊で小太鼓を担当していた。

 やせっぽちで華奢な体だった当時の私は、太鼓の重みを支えるために曲がっていった?そのときも、先生が駆け寄ってきて、私の姿勢を直させたなあ。

 中学生の時の斜めがけの重いカバンのせい? まあいい、いま不都合はない。透かした骨の画像はきれいだなあ。先生のカーソル、じゃまだけど。

【2022/8/26】 セゾン現代美術館

 昨日、久しぶりに訪れたセゾン現代美術館。

 それも新幹線とバス利用で日帰りしたのは初めて。

 大小島真木さんら四人の表現者たちの迫力あるディテールは圧巻だった。

 会期が終了まぎわなので、思い切って行ってよかった。

 細部を舐めるように鑑賞したあと、美術館の庭園を歩くと、つい細部に目がいってしまう。

 

 

葉羽 なにはともあれ、健康診断の結果がOKで何より。人間、健康が一番です。

<<2022.8.28 Release by Habane>>

PAGE TOP


  MARUYMA YOSHIKO~発想の泉~
 Copyright(C) MARUYAMAYOSHIKO & HABANE.All Right Reserved.